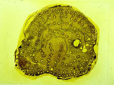
“Wަ•¨ΪΧƒf[ƒ^
˜a@@–ΌƒGƒ]ƒvƒeƒŠƒXi—t•ΏCŠg‘εj@
Šw@@–Όi‰p–ΌjYezopteris polycycloides@
•ͺ@@—ήƒVƒ_A•¨ƒwƒS‰Θ@
Žž@@‘γ’†Ά‘γ”’ˆŸ‹IŒγŠϊ@
ŽY@@’n–kŠC“Ή—[’£Žs@
Š@@‘ ’†‰›‘εŠw—HŠw•”Š‘ AΌ“cŽ‘•ΆŽŽB‰e@
‰π@ΰ

Œ»Ά‚ΜƒwƒS‰Θ‚Ι‚ΝŒ©‚η‚κ‚Θ‚’•‘ŽG‚ΘˆΫŠΗ‘©”z—ρ‚πŽ¦‚·B