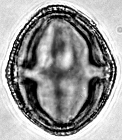
Folder-1108 (1108) ウド Aralia cordata Thunb.