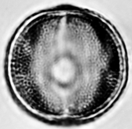
Folder-1062 (1062) ヨモギ Artemisia indica Willd. var. maximowiczii (Nakai) H.Hara