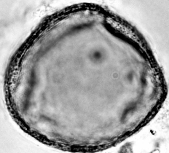
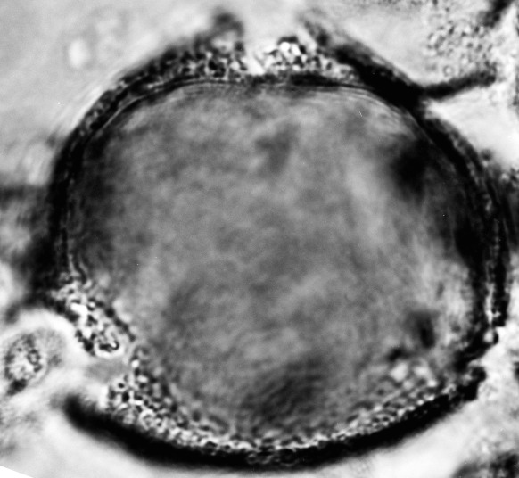
Folder-0911 (911) ハシリドコロ Scopolia japonica Maxim.