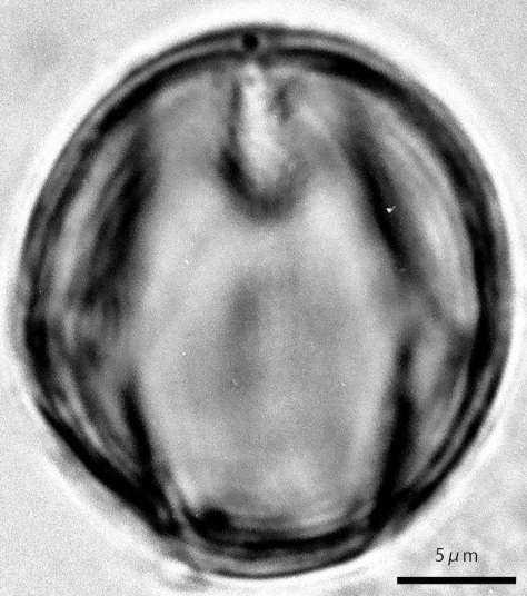
Folder-0824 (824) ベニドウダン Enkianthus cernuus (Siebold et Zucc.) Makino f. rubens (Maxim.) Ohwi