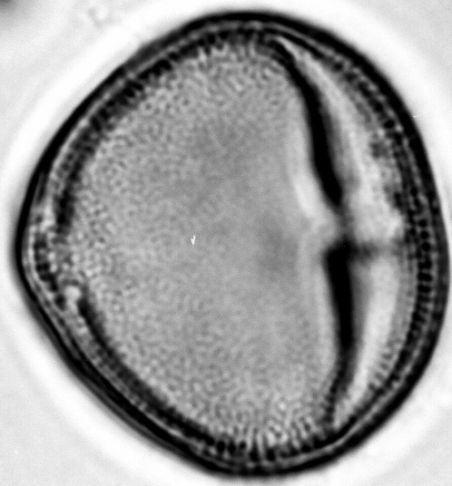
Folder-0791 (791) ツマトリソウ Lysimachia europaea (L.) U.Manns et Anderb.