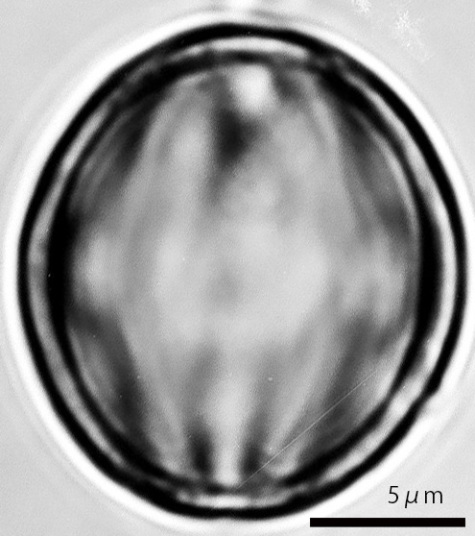
Folder-0769 (769) ハマヒサカキ Eurya emarginata (Thunb.) Makino