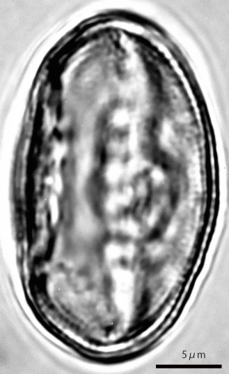
Folder-0639 (639) トチノキ Aesculus turbinata Blume