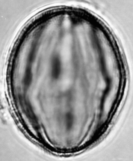
Folder-0637 (637) アサノハカエデ Acer argutum Maxim.