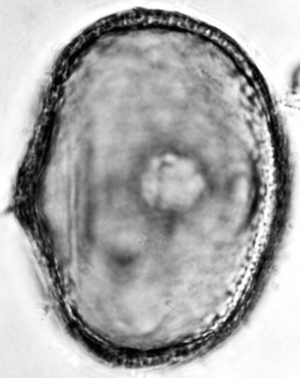
Folder-0610 (610)ハマザクロ Sonneratia alba Sm.