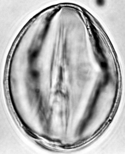
Folder-0589 (589) エイザンスミレ Viola eizanensis (Makino) Makino