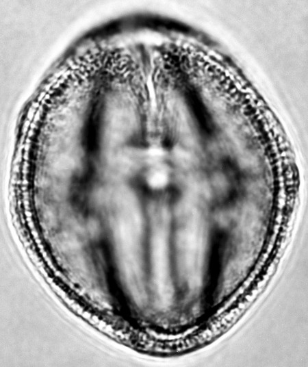
Folder-0553 (553) ナンキンハゼ Triadica sebifera (L.) Small