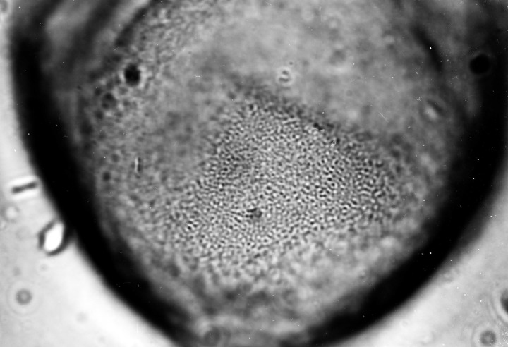
Folder-0529 (529) キュウリ Cucumis sativus L.