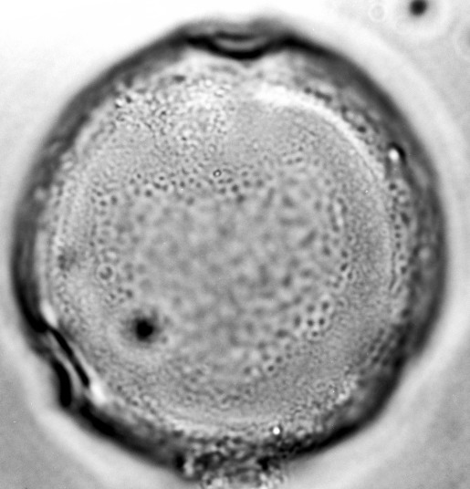
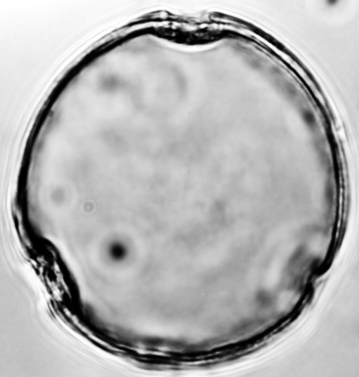
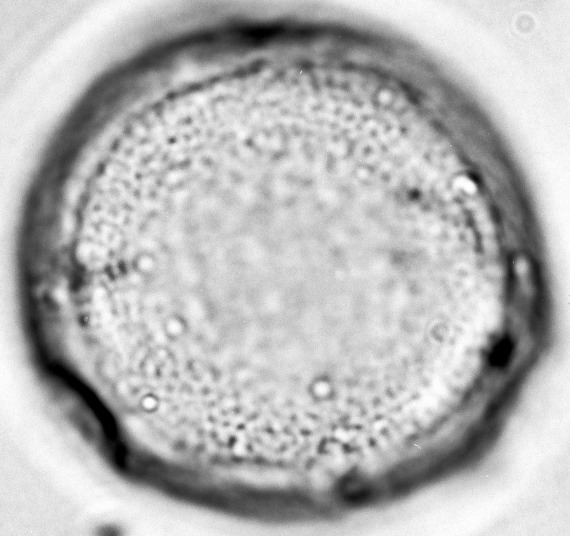
Folder-0525 (525) キカラスウリ Trichosanthes kirilowii Maxim. var. japonica (Miq.) Kitam.