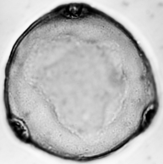
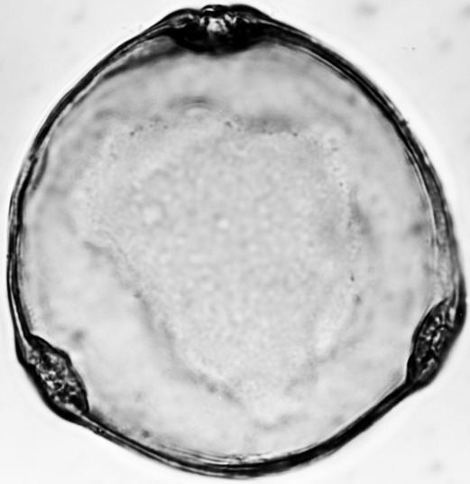
Folder-0524 (524) カラスウリ Trichosanthes cucumeroides (Ser.) Maxim. ex Franch. et Sav.