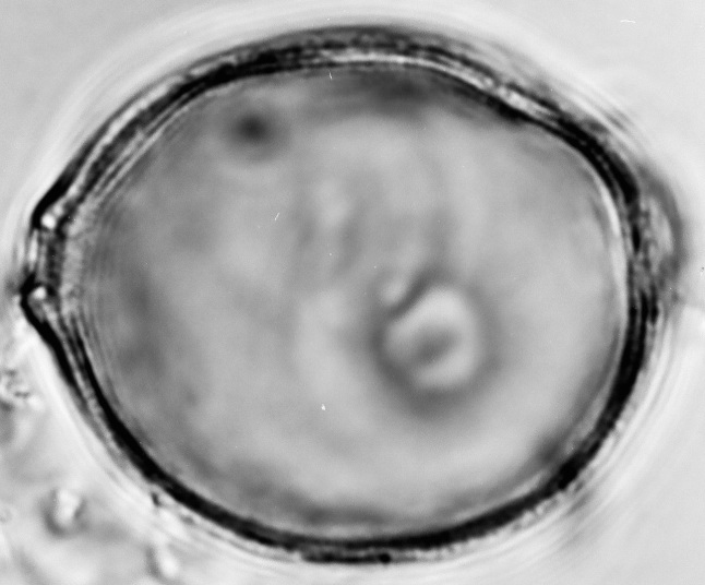
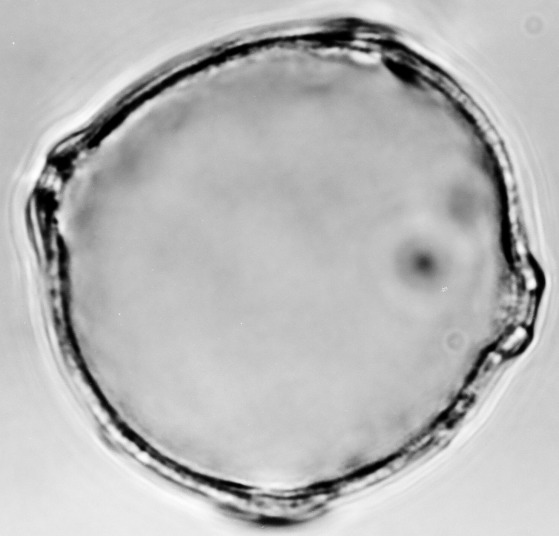
Folder-0507 (507) イヌシデ Carpinus tschonoskii Maxim.