Folder-0436
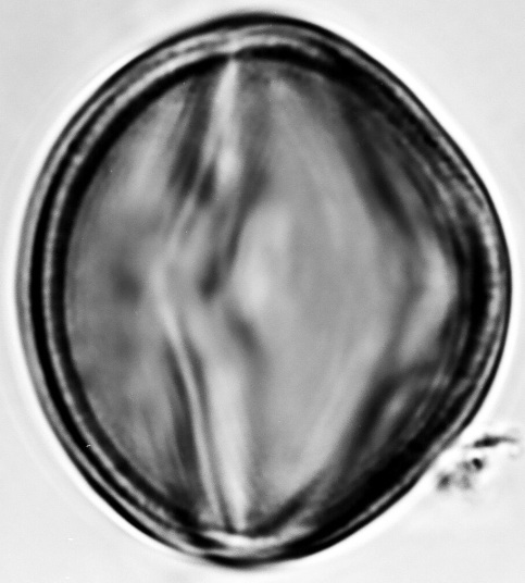
(436) カマツカ
Pourthiaea villosa
(Thunb.) Decne. var.
villosa