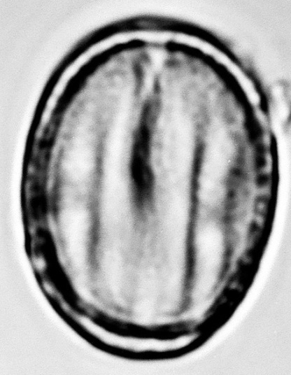
Folder-0404 (404) ウラジロイワガサ Spiraea hayatae Koidz.