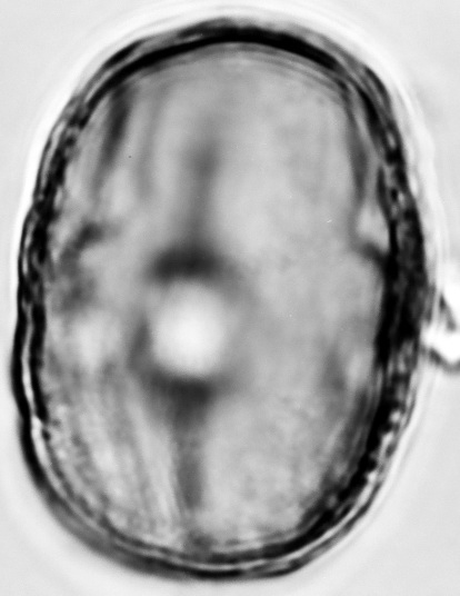
Folder-0370 (370) ヤハズエンドウ Vicia sativa L. subsp. nigra (L.) Ehrh.