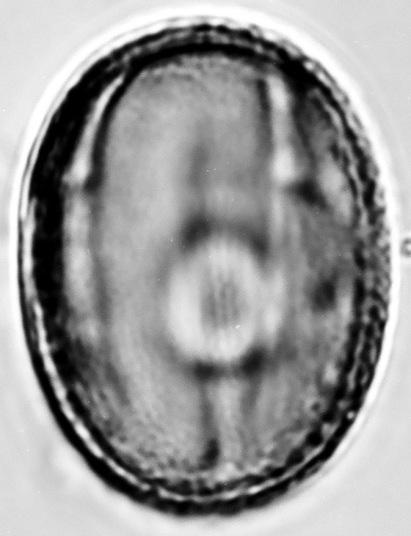
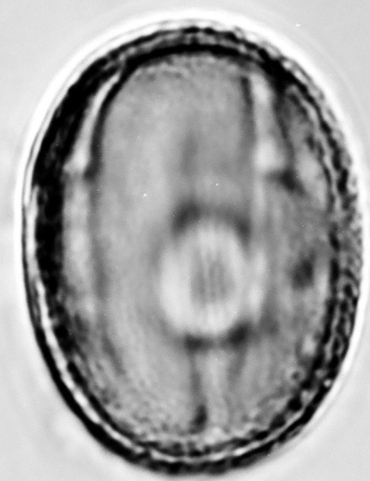
Folder-0357 (357) シラハギ Lespedeza thunbergii (DC.) Nakai subsp. thunbergii f. alba (Nakai) H.Ohashi et K.Ohashi