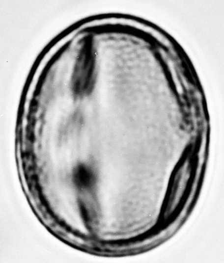
Folder-0355 (355) キハギ Lespedeza buergeri Miq.