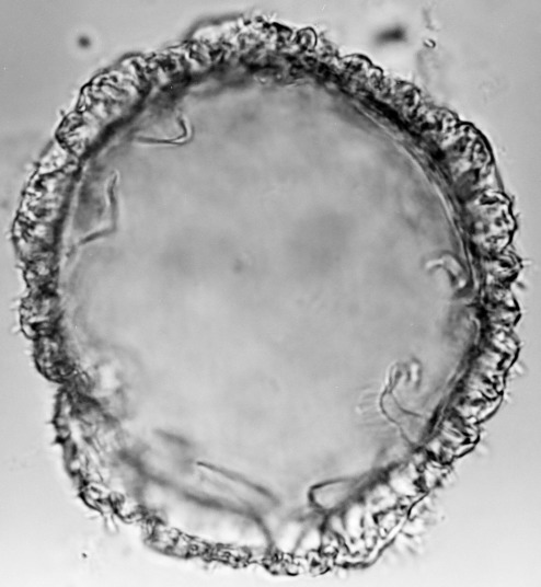
Folder-0012 (12) コメツガ Tsuga diversifolia (Maxim.) Mast.