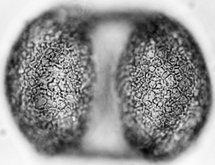
Folder-0008 (8) チョウセンゴヨウ Pinus koraiensis Siebold et Zucc.